
トップページ>顎変形症の治療

顎変形症の方へ外科矯正手術をする意義
便宜的に永久歯を抜歯して矯正治療しても咬み合わせを治すのが困難な場合、歯並びの不正の原因が骨格的な不正である場合、特定の先天性疾患の方の歯並びを治す場合などに対して、行う治療方法が外科矯正手術です。
外科矯正手術の適応症
思春期成長を終了していて、著しい骨格的な不正のある顎変形症の方です。具体的には、著しい下顎前突、著しい上顎前突、著しい開咬、下顎の側方偏位の方などです。
|
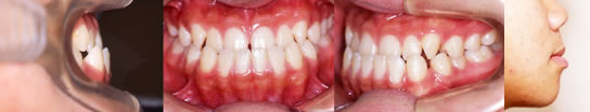
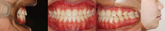
症例:骨格性下顎前突
|
| 1.初診(16才1ヶ月) |
|---|
![]() |
| 2.手術直前(17才7ヶ月) |
![]() |
| 3.保定開始(18才10ヶ月) |
![]() |
治療手順
- 先ず患者さんが矯正歯科医院を受診し、気になっている歯並びの治し方を相談してください。歯並びの悪い原因やその治療方法の説明を受けてください。
- 骨格的な不正が著明であるため、外科手術を併用した矯正治療が望ましいと担当医より説明を受け、ご了解を得た方に対して、必要な基本検査をします。
- その結果を受けて患者さんへ治療方法などを事前説明します。その後、担当医と手術担当医とが共同して治療計画を立て、診断時に最終的な計画をご説明します。
- 必要があれば、抜歯などの準備をして、当医院にて矯正器具を装着します。(術前矯正治療)
- 毎月1度通院してもらい歯を動かして、手術前の目標の位置まで歯列を配列します。
- 手術を受ける準備ができたら、当医院より患者さんに手術時期を伝えます。その内容で手術担当医と交渉してもらい、決まった手術日を報告してもらいます。
- 広島赤十字・原爆病院へ入院し、外科手術を受けます。
- 退院後、最終的な目標に咬み合わせになるように、微調整する矯正治療をしていきます。(術後矯正治療)
- 矯正治療が完了したら、矯正器具を撤去して、保定に入ります。固定式保定装置をできるだけ長期間装着します。
- 約4年後に固定式保定装置を装着します。その際に、着脱式保定装置を渡しますので、就寝時のみの使用で長期間の使用(半一生の使用)をお勧めします。
医療連携先機関名
広島赤十字・原爆病院 歯科口腔外科
広島大学病院 口腔外科
宮本形成外科
山口大学医学部付属病院歯科口腔外科
手術の概略
相談時に個別にご説明します。上顎骨移動手術、下顎骨移動手術、オトガイ形成術などがあります。口に中から切開しますので、傷跡は顔の表面には残りません。手術の際、プレートを装着して骨固定します。矯正治療終了後に、このプレートを撤去することをお勧めします。プレートの撤去は日帰り手術で、片方の顎のプレートを除去して、その約1週間後以降に反対側の顎のプレートを除去するようです。
治療期間・来院間隔
- 相談に来院してから毎月1回来院して、約4ヶ月後に矯正装置が装着されます。
- 装置装着後も毎月1回来院し、便宜抜歯しない場合は約1年後に手術の計画になります。便宜抜歯する場合は約1年6ヶ月後に手術の計画になります。
- 入院期間は約1週間の予定です。
- 退院直後は、最初の2ヶ月間は短い間隔で来院してもらいます。見通しがついたら、毎月1回の来院に戻ります。術後の動的処置は約6ヶ月~1年を予定しております。
- 保定開始後は3ヶ月に1回来院してください。もし途中で保定装置が壊れたら、予約を取ってすぐに来院してください。もし長期に放置すると後戻りしますので、ご注意ください。保定期間は約4年間を予定しております。
費用
- 全て保険診療です。現在であれば、3割負担です。
- 概算で、歯を動かす期間と保定する期間の全ての矯正治療費の総額は約100万円~約150万円ですので、窓口で支払いの総額は約30万円~約50万円となります。この場合、高額医療費支給制度をご利用されれば、ご負担が減ります。
- 概算で手術費用が約100万円~約150万円ですので、窓口では約30万円~約50万円の支払いとなります。









